Внутримозговая гематома

Алексей Ерошкин

Автор статьи

Нейрохирург высшей категории,
кандидат медицинских наук;


Более 20 лет опыта в области нейрохирургии.

09.12.2025

СТОИМОСТЬ КОНСУЛЬТАЦИИ

от 2500 грн

Симптоматическая картина

В зависимости от степени тяжести травмы, симптомы гематомы головы могут появиться через несколько часов или даже месяцев (так называемый светлый промежуток). Основные проявления патологии состоят из: а) общемозговой симптоматики.

  • боль в голове;
  • головокружение;
  • тошнота, рвота;
  • общая слабость, постоянное чувство сонливости;
  • спутанное сознание;

б) очаговой симптоматики:

  • нарушение речи;
  • снижение остроты зрения, слуха;
  • отсутствие движений в конечностях и др.

ЗАПИСАТЬСЯ
НА КОНСУЛЬТАЦИЮ

Для регистрации на консультацию заполните форму или свяжитесь с помощью мессенджеров

Факторы возникновения

Основная причина появления гематомы головного мозга – черепно-мозговая травма различной степени тяжести. Также существует ряд факторов, которые могут спровоцировать разрыв стенок кровеносных сосудов с последующим кровоизлиянием и формированием гематомы:

  • новообразования в головном мозге;
  • артериальная гипертензия;
  • артерио-венозные мальформации;
  • аневризмы сосудов;
  • заболевания кровеносной системы.

Диагностика и лечение

Внутримозговые гематомы не всегда можно легко и быстро диагностировать, особенно если патология протекает в хронической форме. Связано это с тем, что специфические признаки отсутствуют, а головная боль, изменение сознания, нарушения неврологического характера – симптомы, присущие многим заболеваниям.

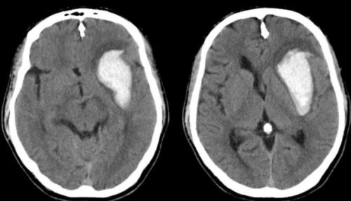
Для диагностики гематом необходимо пройти ряд медицинских анализов и обследований, в частности, КТ и МРТ. Эти методы дают полную картину о состоянии гематомы, ее местонахождении, размерах и способствуют определению патологических процессов, которые уже начали происходить в организме из-за того, что новообразование сдавливает мягкие ткани мозга.

Внутримозговая гематома на КТ.

Для лечения внутримозговой гематомы – операции считаются наиболее эффективными. Для удаления скопления кровяных сгустков используются малоинвазивные методики и полноценные хирургические вмешательства в зависимости от размера гематомы и риска возможных осложнений.

Медикаментозное лечение внутримозговых гематом практически не проводится из-за его неэффективности и риска стремительного роста отека мозга. Исключение – гематомы крайне небольших размеров, которые не сдавливают мягкие ткани. Но они требуют постоянного наблюдения, и при малейших признаках ухудшения состояния назначается операция.

Методы удаления внутричерепных гематом – трепанация черепа, малоинвазивная методика наложения отверстия фрезерного типа. Трепанация – операция, требующая вскрытия черепной коробки с последующим удалением кровяных сгустков, промыванием раны и восстановлением целостности костей черепа.

Если человек получил тяжелую травму, приведшую к раздроблению черепных костей, деформированный участок после удаления гематомы перекрывается заплаткой из металлической пластины или сетки – краниопластика.

Трепанация используется в экстренных случаях, когда наличие гематомы может стать причиной смерти в течение короткого промежутка времени, или если сгусток крови очень большой. После удаления гематомы пациенту назначаются медицинские препараты группы кортикостероидов и диуретиков, чтобы отек мозга быстрее прошел.

Отзывы
пациентов Алексея

СМОТРЕТЬ ВСЕ

Новые статьи

Узнайте больше о специфике заболеваний и методах лечения

Алгология: что это?

Кибернож: что это такое?

Операция роботом да Винчи: что это такое и где применяется

Что такое микрохирургия

Что лечит нейрохирург

Алгология: что это?

Кибернож: что это такое?

Операция роботом да Винчи: что это такое и где применяется

Что такое микрохирургия

Что лечит нейрохирург

Патологии, с которыми работает Алексей

Патологии,
с которыми
работает Алексей

Посмотреть БОЛЬШЕ

ЗАПИСАТЬСЯ
НА КОНСУЛЬТАЦИЮ

Для записи на консультацию свяжитесь через мессенджеры или по контактному номеру телефона

График работы

Прием заявок круглосуточно

Пн - Пт | 09:00 - 19:00
Сб | 09:00 - 16:00 (онлайн)

Номер телефона