Субдуральная гематома

Алексей Ерошкин

Автор статьи

Нейрохирург высшей категории,
кандидат медицинских наук;


Более 20 лет опыта в области нейрохирургии.

09.12.2025

Субдуральная гематома – разновидность гематомы, которая, как правило, ассоциируется с черепно-мозговой травмой, вследствие которой  кровь скапливается между твердой и паутинной оболочками мозга. Субдуральный отек и кровоизлияние оказывают давление на мягкие ткани головного мозга, вызывая ряд осложнений. Образование возникает в острой форме, но если не было оказано лечение, развивается хроническая субдуральная гематома.

СТОИМОСТЬ КОНСУЛЬТАЦИИ

от 2500 грн

Классификация гематом субдурального типа

Субдуральная гематома, лечение которой должно быть своевременным, это не просто большая шишка на голове, а опасная патология, приводящая к тяжелым патологическим последствиям. Особенность данного вида гематомы заключается в том, что обширное кровоизлияние возникает как в той части черепа, где произошло травмирование, так и в зеркальном отражении, с противоположной стороны.

Субдуральные гематомы делятся на 3 типа:

  • острая гематома;
  • подострая субдуральная гематома;
  • хроническая.

Острая гематома субдурального типа возникает через сутки-двое после получения травмы. Подострое кровоизлияние проявляется через 5-14 дней, а хронический тип гематомы может возникнуть через несколько недель или даже месяцев. Острая форма гематомы появляется по причине тяжелой травмы головы, поэтому кровотечение наблюдается обширное и стремительное.

Гематома головного мозга появляется не только по причине механического повреждения черепной коробки, но и вследствие небольших кровоизлияний в головном мозге, вызванных нарушением целостности стенок кровеносных сосудов. А данное явление может быть вызвано рядом различных факторов, например, развитием аневризмы кровеносных сосудов головного мозга, атеросклерозом, гипертонией.

В большинстве случаев, появление субдуральной гематомы связано с травмами в автомобильных авариях, когда при ударе человек бьется головой о твердые части салона. Нередки случаи, когда черепно-мозговая травма с последующим образованием гематомы возникала из-за падения с высоты на голову человека тяжелого или острого предмета. В зоне риска находятся спортсмены, которые могут неудачно приземлиться или упасть.

ЗАПИСАТЬСЯ
НА КОНСУЛЬТАЦИЮ

Для регистрации на консультацию заполните форму или свяжитесь с помощью мессенджеров

Как проявляется субдуральная гематома?

Патологическое скопление большого количества крови в оболочках головного мозга отличается различной вариацией симптоматической картины. Какие именно признаки будут присутствовать у человека, зависит от размера гематомы, степени тяжести травмы, наличия у пациента сопутствующих заболеваний.

Субдуральная гематома характеризуется тем, что у человека наступают светлые промежутки – небольшие временные отрезки, во время которых все симптомы патологии исчезают, и человек чувствует себя хорошо. Это один из факторов, почему многие пациенты своевременно не обращаются за медицинской помощью. При развитии гематомы головного мозга, которая протекает в хронической стадии, светлый промежуток с отсутствием симптоматики может длиться от нескольких месяцев до нескольких лет.

Основные признаки субдуральной гематомы головного мозга:

  • частые перепады артериального давления;
  • изменение сознания;
  • головные боли;
  • эмоциональное возбуждение;
  • судорожные припадки;
  • рвотные позывы;
  • расширение зрачка (мидриаз) на стороне появления гематомы.

Сильная головная боль, приводящая к рвоте, в большинстве случаев, без чувства тошноты – основные признаки развития гематомы.

Субдуральная гематома опасна своими последствиями. Данный вид кровоизлияния представляет собой угрозу для здоровья и жизни человека. Прогноз без своевременного лечения неблагоприятный. Учитывая тот факт, что субдуральная гематома возникает по причине черепно-мозговой травмы, повреждение мягких тканей усугубляется скоплением большого объема крови.

Увеличивающаяся в размерах субдуральная гематома начинает сдавливать структуры головного мозга и может привести к защемлению его ствола. Какие именно центры головного мозга пострадают от субдуральной гематомы, зависит от многих факторов, в частности, какая область головы была травмирована, какова площадь гематомы, есть ли у пациента другие заболевания и патологические процессы в организме.

Субдуральная гематома проходит три стадии своего развития:

  1. На первом этапе, когда между оболочками головного мозга только начинает формироваться новообразование и заполняться кровью, человек может испытывать сильные, периодические головные боли, не исключается потеря сознания. Может развиться ретроградный тип амнезии, пациент жалуется на шум в ушах.
  2. Вторая стадия развития – происходят нарушения в работе центральной нервной системы, возможны изменения психического характера. К сожалению, не все люди обращают на это внимание и не обращаются за помощью, а сильные головные боли оправдывают недавней тяжелой травмой головы.
  3. Третья стадия развития гематомы характеризуется тяжелыми изменениями неврологического характера, и если вовремя не провести операцию, патологические изменения будут носить необратимый характер.

Методы диагностики

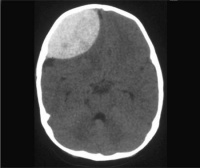
Диагностируется субдуральная гематома головного мозга путем неврологического обследования пациента. Для подтверждения первичного диагноза, определения размера гематомы и наличия осложнений, проводится МРТ и КТ.

Субдуральная гематома на КТ.

Отзывы
пациентов Алексея

СМОТРЕТЬ ВСЕ

Методы лечения

Субдуральная гематома требует немедленной госпитализации пациента и оказания правильного, своевременного лечения.

Не исключается применение консервативных методов лечения субдуральной гематомы. Положительная динамика от приема медицинских препаратов будет только в том случае, если гематома еще не успела достичь больших размеров, а симптоматическая картина слабо выражена. Консервативный метод состоит из комплекса мероприятий, направленных на восстановление кровообращения в мягких тканях головного мозга и нормализацию процесса метаболизма.

Так как консервативная терапия не всегда дает положительный результат, предпочтительным методом лечения субдуральной гематомы является ее удаление путем хирургического вмешательства. Пациенту проводится трепанация – вскрытие черепной коробки, с последующим удалением гематомы. Излишки крови выводятся через шприц, либо используется метод промывания полости между оболочками мозга физиологическим раствором. После удаления кровяного сгустка, черепной коробке возвращается ее целостность, с установкой специального дренажа, для предупреждения повторного скопления крови.

Трепанация черепа – это срочная мера, к которой прибегают в тех случаях, когда субдуральная гематома начала давить на мягкие ткани головного мозга, а у пациента присутствуют признаки тяжелых нарушений неврологического характера.

Если патология была обнаружена на ранних стадиях своего развития, есть время подготовить пациента к малоинвазивному вмешательству, которое имеет ряд преимуществ перед хирургической операцией – минимизирует риск осложнений. Эндоскопический метод удаления субдуральной гематомы головного мозга заключается в том, что в черепной коробке делается небольшое отверстие, через которое с помощью специальных инструментов удаляются кровяные сгустки. Минус данного метода заключается в невозможности удалять обширные гематомы, так как отверстия в черепе может быть недостаточно, чтобы обследовать всю гематому и полностью удалить все кровяные сгустки.

После операции по удалению гематомы пациент проходит реабилитационный период, во время которого ему назначаются антибактериальные препараты и средства для улучшения кровотока и процесса метаболизма в головном мозге.

Субдуральная гематома – крайне опасное заболевание, способное привести к полной инвалидности человека и нередко являющееся причиной летального исхода. Обращаться к врачу необходимо безотлагательно, как только проявились первые признаки патологии.

Новые статьи

Узнайте больше о специфике заболеваний и методах лечения

Алгология: что это?

Кибернож: что это такое?

Операция роботом да Винчи: что это такое и где применяется

Что такое микрохирургия

Что лечит нейрохирург

Алгология: что это?

Кибернож: что это такое?

Операция роботом да Винчи: что это такое и где применяется

Что такое микрохирургия

Что лечит нейрохирург

Патологии, с которыми работает Алексей

Патологии,
с которыми
работает Алексей

Посмотреть БОЛЬШЕ

ЗАПИСАТЬСЯ
НА КОНСУЛЬТАЦИЮ

Для записи на консультацию свяжитесь через мессенджеры или по контактному номеру телефона

График работы

Прием заявок круглосуточно

Пн - Пт | 09:00 - 19:00
Сб | 09:00 - 16:00 (онлайн)

Номер телефона