Эпидуральная гематома

Алексей Ерошкин

Автор статьи

Нейрохирург высшей категории,
кандидат медицинских наук;


Более 20 лет опыта в области нейрохирургии.

09.12.2025

Эпидуральная гематома – это скопление кровяных сгустков между твердой оболочкой головного мозга и внутренней частью черепной коробки. Патология опасна тем, что скопление крови начинает сдавливать определенные участки головного мозга, приводя к неврологическим нарушениям.

Кровотечение при развитии эпидуральной гематомы имеет артериальный характер. Патология встречается чаще всего у взрослых людей, среди детей риск развития этого вида гематомы головного мозга минимален, что связано с анатомическими особенностями черепной коробки у детей.

СТОИМОСТЬ КОНСУЛЬТАЦИИ

от 2500 грн

Симптоматическая картина

Клиническая картина при эпидуральной гематоме развивается по-разному, в зависимости от тяжести травмы черепной коробки. Наиболее распространенный путь — потеря сознания сразу после травмирования, с последующим постепенным ухудшением состояния. Основные признаки:

  • сильная головная боль;
  • частые приступы головокружения;
  • общая слабость, апатия;
  • нарушение памяти, кратковременная амнезия.

Через несколько часов после травмы состояние пациента ухудшается, появляется рвота, нервное возбуждение, головные боли становятся невыносимыми. Если не будет проведено своевременное лечение, пациент может впасть в коматозное состояние.

Дальнейшее развитие гематомы характеризуется тем, что через некоторое время после проявления первых признаков патологии наступает светлый промежуток, во время которого вся симптоматика исчезает самостоятельно, человек чувствует себя хорошо и думает, что все прошло. Но это очень обманчивое состояние, поскольку симптомы снова могут вернуться.

И самый тяжелый вариант — человек теряет сознание, светлый промежуток отсутствует, наступает кома. Это самый неблагоприятный вариант течения патологии, если сразу не провести операцию по удалению гематомы, не исключается летальный исход, или патологические изменения в организме станут необратимыми и возможна инвалидность.

ЗАПИСАТЬСЯ
НА КОНСУЛЬТАЦИЮ

Для регистрации на консультацию заполните форму или свяжитесь с помощью мессенджеров

Факторы, провоцирующие развитие эпидуральной гематомы

Эпидуральная гематома возникает из-за травмы черепно-мозговой коробки. Это может быть падение с высоты на голову тяжелого предмета, автомобильная авария, часто патология встречается у людей, занимающихся активными видами спорта – лыжи, коньки. Чаще всего эпидуральная гематома развивается в височной доле или нижнетеменном отделе – наиболее уязвимых при травмах отделах.

Механическое воздействие на мягкие ткани мозга приводит к разрыву кровеносных сосудов, отчего начинается обильное кровотечение. Кровь, которая не может найти выход, начинает скапливаться, что приводит к формированию гематомы.

Важную роль в лечении и прогнозе играет размер гематомы и область ее локации. Происходит развитие эпидуральной гематомы в острой, подострой и хронической форме. Хронический вид эпидуральной гематомы – крайне редкое явление, чаще всего у пациентов диагностируется острая форма патологии.

Диагностика и методы лечения эпидуральной гематомы

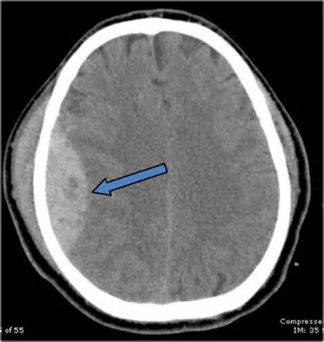
Чтобы диагностировать наличие эпидуральной гематомы, специалисту необходимо провести осмотр пациента. Для детального изучения гематомы, ее места локации и размера необходимо провести МРТ или КТ.

Эпидуральная гематома на КТ.

3D-реконструкция черепа на КТ (визуализирует сложный перелом правой височно-теменной области).

Лечение применяется хирургическое. Случаи, когда при эпидуральной гематоме применяется консервативный метод лечения – крайне редки, поскольку данная патология развивается очень быстро и пациент не имеет времени на длительное медикаментозное лечение.

Однако этот метод терапии не исключается, если гематома имеет очень маленькие размеры. Пациенту назначаются препараты для устранения кровотечения, после чего принимаются препараты с разжижающим действием, чтобы сгустки крови самостоятельно рассасывались, отек уменьшался, и давление на мягкие соседние ткани ослаблялось. Если состояние пациента быстро ухудшается, поднимается внутричерепное давление, появляются судороги, немедленно проводится операция.

Какой метод хирургического вмешательства будет выбран — полноценная операция с вскрытием черепной коробки (трепанация) или более безопасный, малоинвазивный способ, зависит от состояния пациента и обширности гематомы. Если отек слишком большой, или речь идет об экстренном случае, проводится трепанация.

Трепанация черепа – метод хирургического вмешательства, подразумевающий вскрытие черепной коробки. Проводится вскрытие черепа:

  • костно-пластическим методом, когда после операции часть кости возвращается на место;
  • или резекционным способом – если часть костной ткани не удается сохранить (проводится при обширных, тяжелых черепно-мозговых травмах).

Если есть необходимость проводить резекцию кости черепа, после операции по удалению эпидуральной гематомы проводится краниопластика, когда деформированный участок черепа перекрывают трансплантатом – металлической сеткой или пластиной.

После того, как черепная коробка была вскрыта, кровяные сгустки отсасываются с помощью шприца, а поврежденный кровеносный сосуд подлежит коагуляции – прижиганию для предотвращения повторного кровотечения. После удаления гематомы устанавливается специальный дренаж, предотвращающий риск повторного скопления крови или появления гнойного абсцесса.

Эндоскопическое удаление эпидуральной гематомы – малоинвазивная операция, проводимая на гематомах небольшого размера. В чем заключается этот метод? В черепе пациента, на месте расположения гематомы, делается небольшое отверстие, через которое будет введен специальный инструмент. Малоинвазивная операция всегда предпочтительна, так как риск травмирования здоровых тканей мозга отсутствует, как и вероятность осложнений после операции. Недостаток этого способа хирургического вмешательства заключается в том, что он не подходит для гематом, занимающих большую площадь, так как существует риск того, что не удастся удалить все кровяные сгустки из-за их недоступности и небольшого отверстия в черепе.

При хорошо проведенной операции пациент будет избавлен от гематомы, риск развития осложнений будет отсутствовать. Насколько успешным будет хирургическое вмешательство, зависит не только от квалификации нейрохирурга. Значительную роль играет и то, насколько своевременно пациент обратился за помощью к врачу.

Если мягкие ткани головного мозга в течение длительного периода времени находились в сдавлении от растущей эпидуральной гематомы, это может привести к тому, что даже полное удаление отека не поможет привести поврежденные участки мозга в исходное состояние. Нередки случаи, когда из-за обширности гематомы и отсутствия своевременного оперативного вмешательства, на тканях мозга происходят изменения ишемического характера, а они являются необратимыми.

Не исключается риск рецидива после удаления эпидуральной гематомы, вызванной тяжелой травмой и слишком большой гематомой, из которой, учитывая труднодоступность отдельных участков, нет возможности полностью извлечь кровяные сгустки.

Независимо от того, какой способ использовался для удаления эпидуральной гематомы – трепанация или малоинвазивная операция, пациента ждет прохождение реабилитации. В послеоперационный период назначаются антибиотики и медикаменты, направленные на восстановление мозговых процессов, кровоснабжения в мягких тканях и процесса метаболизма. Если гематома успела сдавить отдельные участки головного мозга и вызвать осложнения неврологического характера, лечение их устранения проводится симптоматически. Если не выполнять все предписания врача в послеоперационный период, человек может остаться навсегда инвалидом.

Эпидуральная гематома – опасное последствие травм черепной коробки, которое может спровоцировать развитие необратимых патологических процессов. Если человек получил травму головы, после которой возникают сильная головная боль, рвота, ухудшается общее состояние, необходимо немедленно обращаться к врачу. Своевременное лечение – залог положительного прогноза и высокая вероятность того, что человек вернется к полноценному образу жизни.

Отзывы
пациентов Алексея

СМОТРЕТЬ ВСЕ

Новые статьи

Узнайте больше о специфике заболеваний и методах лечения

Алгология: что это?

Кибернож: что это такое?

Операция роботом да Винчи: что это такое и где применяется

Что такое микрохирургия

Что лечит нейрохирург

Алгология: что это?

Кибернож: что это такое?

Операция роботом да Винчи: что это такое и где применяется

Что такое микрохирургия

Что лечит нейрохирург

Патологии, с которыми работает Алексей

Патологии,
с которыми
работает Алексей

Посмотреть БОЛЬШЕ

ЗАПИСАТЬСЯ
НА КОНСУЛЬТАЦИЮ

Для записи на консультацию свяжитесь через мессенджеры или по контактному номеру телефона

График работы

Прием заявок круглосуточно

Пн - Пт | 09:00 - 19:00
Сб | 09:00 - 16:00 (онлайн)

Номер телефона