Гидроцефалия

Алексей Ерошкин

Автор статьи

Нейрохирург высшей категории,
кандидат медицинских наук;


Более 20 лет опыта в области нейрохирургии.

09.12.2025

СТОИМОСТЬ КОНСУЛЬТАЦИИ

от 2500 грн

Классификация

По происхождению:

  • Врожденная
  • Приобретенная

По механизму возникновения:

  • Окклюзионная (закрытая, несообщаемая) – нарушение оттока ликвора вследствие закрытия (окклюзии) ликворопроводящих путей опухолью, гематомой, послевоспалительным процессом.
  • Сообщенная (открытая) – нарушаются процессы всасывания ликвора.
  • Гиперсекреторная – избыточная продукция цереброспинальной жидкости.

По скорости течения:

  • Острая – до 3-х суток.
  • Подострая – развивается в течение месяца с момента заболевания.
  • Хроническая – от 3-х недель до 6-ти месяцев и более.

По уровню давления ликвора:

  • Гипертензивная.
  • Нормотензивная.
  • Гипотензивная.

В зависимости от того, где именно произошло чрезмерное накопление спинномозговой жидкости, гидроцефалия может быть:

  • внутренней – когда ликвор накапливается в полостях желудочков, данная патология может спровоцировать синдром Денди-Уокера;
  • внешней – скопление жидкости происходит в субарахноидальном пространстве или субдуральном.

Наличие жидкости, накапливающейся из-за невозможности нормального дренирования, начинает сдавливать ткани мозга, из-за чего развиваются необратимые патологические процессы.

ЗАПИСАТЬСЯ
НА КОНСУЛЬТАЦИЮ

Для регистрации на консультацию заполните форму или свяжитесь с помощью мессенджеров

Причины возникновения патологии

Заболевание встречается в любом возрасте, но чаще всего в раннем детском, вследствие различных причин – опухолей, воспалений, черепно-мозговых травм, врожденных аномалий.

Риск развития заболевания повышается у детей, родившихся раньше срока, при наличии осложнений во время беременности. Риск приобретенной гидроцефалии повышается после перенесенных тяжелых инфекционных заболеваний головного мозга и центральной нервной системы, при частых кровотечениях внутричерепной коробки.

Симптоматическая картина

Первые признаки гидроцефалии у новорожденных:

  • слишком большая голова по отношению к телу;
  • темячко выпуклое;
  • частая рвота;
  • нарушение сна;
  • плаксивость;
  • конвульсии;
  • частое закатывание глазных яблок;
  • задержка в физическом развитии.

У детей старшего возраста и у взрослых людей заболевание проявляется следующими симптомами:

  • головная боль (наиболее выраженная в утренние часы);
  • тошнота, рвота;
  • нарушение сна;
  • плаксивость;
  • судорожные и конвульсивные движения;
  • сильная головная боль в сопровождении рвоты;
  • невозможность сфокусироваться;
  • смещение глазного яблока вниз;
  • общая слабость, апатия;
  • нарушение памяти;
  • изменения личности;
  • невозможность контролировать процесс мочеиспускания.

Индивидуальные симптомы гидроцефалии могут отличаться и зависеть от возраста и вида патологии.

Умеренная гидроцефалия является одним из самых опасных видов болезни, связано это с отсутствием ярко выраженной симптоматической картины, и человек может не догадываться о том, что серьезно болен. При развитии гидроцефалии умеренного, открытого типа, у человека начинают возникать частые мигрени, происходит постепенное нарушение работы центральной нервной системы, человек становится вялым и апатичным.

Синдром гидроцефалии опасен своими последствиями. Если заболевание имеет врожденную форму, оно может стать причиной физического и умственного отставания в развитии, и эти патологические процессы необратимы, но при своевременном выявлении заболевания врачам удается предупредить развитие осложнений, и ребенок сможет развиваться на уровне своих здоровых сверстников. Приобретенная форма заболевания успешнее поддается лечению, и человеку со временем удается вернуться к нормальной, полноценной жизни.

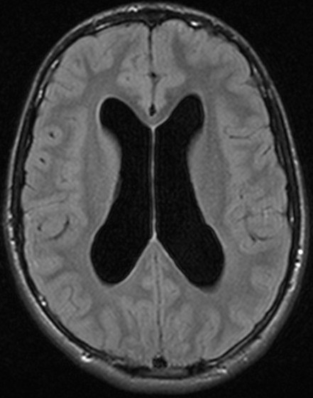
Ведущую роль в диагностике гидроцефалии играют:

  • КТ
  • МРТ

Отзывы
пациентов Алексея

СМОТРЕТЬ ВСЕ

Методы лечения

Чем раньше начать лечение патологии, тем больше шансов предотвратить развитие тяжелых осложнений.

Терапия заболевания зависит от его вида и стадии развития. Гидроцефалия на начальных стадиях развития устраняется медикаментозно. Лечение медицинскими препаратами возможно и не исключается, но консервативная терапия помогает только справиться с симптомами заболевания и облегчить человеку его физическое состояние, но таблетками не удается устранить причины развития болезни.

Во время проведения медикаментозного лечения гидроцефалии необходимо постоянно проходить медицинские обследования, и если обнаруживается динамика роста водянки мозга, необходима хирургическая операция. На сегодняшний день в нейрохирургии используется метод эндоскопии. Преимущество данного хирургического вмешательства заключается в отсутствии риска травмирования головного мозга, а сама операция длится чуть более получаса.

Суть данного вмешательства в том, что специальный прибор с камерой на конце вводится в каналы мозга. Через камеру изображение транслируется на экран монитора, и врач видит, в какую область головного мозга необходимо ввести инструменты, чтобы восстановить процесс оттока спинномозговой жидкости.

Один из методов хирургического лечения гидроцефалии – шунтирование. Несмотря на то, что данная методика является одной из самых распространенных, она имеет ряд недостатков, в частности риск частых рецидивов, что требует раз в несколько лет проводить повторную процедуру. Суть шунтирования заключается в том, что специальные клапаны и трубки помогают постоянно поддерживать процесс циркуляции спинномозговой жидкости на необходимом уровне.

Минус операции — трубки, которые используются для оттока жидкости, со временем могут забиваться, и пациенту необходимо проводить повторную операцию. Прогноз после шунтирования благоприятный, пациент может вести полноценный образ жизни, но он навсегда зависит от того, насколько правильно и слаженно будут работать клапаны и функционировать трубки.

Лечится ли гидроцефалия навсегда? С помощью хирургического метода нейроэндоскопии – да. К сожалению, данный метод лечения патологии очень дорогой и требует от нейрохирурга высокой квалификации и опытности. Суть хирургического вмешательства заключается в том, что с помощью специальных инструментов в головном мозге создается искусственный канал оттока спинномозговой жидкости, которая по этому протоку выходит из головного мозга, и все, человек навсегда излечивается от тяжелого недуга. Никаких повторных операций больше не требуется.

Преимущества данного вида хирургического лечения гидроцефалии заключаются в том, что процесс физиологического оттока и циркуляции спинномозговой жидкости будет восстановлен навсегда. Во время проведения эндоскопии в тело пациента не вживляются какие-либо инородные тела (как при шунтировании), а значит, риск развития побочных действий, связанных с процессом биологической адаптации организма к чуждому для него предмету, отсутствует.

Лечение врожденной гидроцефалии предусматривает, прежде всего, устранение основной причины развития заболевания. Если патология возникла из-за наличия в головном мозге объемных процессов, их удаляют путем хирургического вмешательства, в частности, удаляются гематомы, опухоли, абсцессы и спайки на мягких тканях органа.

Новые статьи

Узнайте больше о специфике заболеваний и методах лечения

Алгология: что это?

Кибернож: что это такое?

Операция роботом да Винчи: что это такое и где применяется

Что такое микрохирургия

Что лечит нейрохирург

Алгология: что это?

Кибернож: что это такое?

Операция роботом да Винчи: что это такое и где применяется

Что такое микрохирургия

Что лечит нейрохирург

Патологии, с которыми работает Алексей

Патологии,
с которыми
работает Алексей

Посмотреть БОЛЬШЕ

ЗАПИСАТЬСЯ
НА КОНСУЛЬТАЦИЮ

Для записи на консультацию свяжитесь через мессенджеры или по контактному номеру телефона

График работы

Прием заявок круглосуточно

Пн - Пт | 09:00 - 19:00
Сб | 09:00 - 16:00 (онлайн)

Номер телефона